Dental Editor-Digital Consultation App
Install Now
Dental Editor-Digital Consultation App
Dental Editor-Digital Consultation App

Dental Editor-Digital Consultation App

Dental Editor was designed to meet the need of dental practitioners.

App Size: 8.7M
Release Date: Jul 18, 2020
Price: Free
Price
Free
Size
8.7M

Screenshots for App

Mobile
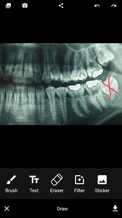
Most of the time patient doesn’t understand the process of the treatment orally. So using this app doctor can import an image from gallery like x-ray image of patient teeth to explain the problem and the treatment which is required
Features :
-import image
-rotate image
-click image
-draw
-text
-different colors
-dental stickers
-save image
-share work via various platform

“The good doctors treat their patients. The best ones educate them too”

Dental Editor is one of the great dental apps for dentists that helps them explain clinical information to patients in a way that is easy to understand.
1. First you have to import patient x ray image from gallery to explain the problem.
2. Highlight the problem using draw function
3. If treatment to be done is root canal then you can put the text “root canal”
4. If other treatment like dental implant ,braces is to be done then there are stickers which you can drag it to the x ray image over affected teeth
5. The patients can better understand their course of treatment. The data from this app can be sent to the patients via WhatsApp or email .
A few minute digital consultation plan can help you achieve higher case acceptance and improve patient satisfaction .
Show More
Show Less
More Information about: Dental Editor-Digital Consultation App
Price: Free
Version: 1.0
Downloads: 10
Compatibility: Android 4.0 and up
Bundle Id: com.qayyumkadri.dentaleditor
Size: 8.7M
Last Update: Jul 18, 2020
Content Rating: Everyone
Release Date: Jul 18, 2020
Content Rating: Everyone
Developer: Salahuddin Mohammed Hussain Shaikh


Whatsapp
Vkontakte
Telegram
Reddit
Pinterest
Linkedin
Hide